Παιδικές θήκες
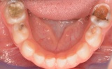
Σε ορισμένες περιπτώσεις πολύ χαλασμένων νεογιλών δοντιών όπου λείπει αρκετό μέρος του δοντιού, επιλέγουμε να τοποθετήσουμε παιδικές θήκες ανοξείδωτου χάλυβα με στόχο την ακεραιότητα και τη μακροβιότητα της αποκατάστασης μας. Σε αντίθεση με ένα απλό σφράγισμα που είτε θα είχε τον κίνδυνο είτε να φύγει (λόγω μειωμένης συγκράτησης), είτε να σπάσει (αυτό ή το δόντι λόγω μειωμένης αντοχής του ήδη ταλαιπωρημένου δοντιού), η στεφάνη (παιδική θήκη) καλύπτει όλο το δόντι κάνοντας το ανθεκτικό και άφθαρτο μέχρι τη φυσιολογική απόπτωση του. Οι παιδικές θήκες λόγου του μεγέθους των νεογιλών δοντιών πρέπει να είναι ιδιαίτερα λεπτές και ανθεκτικές για το λόγο αυτό κατασκευάζονται κυρίως από ανοξείδωτο χάλυβα (ατσάλι).


